Avances y perspectivas en el queratocono
Por. Patricia E. García A. OD.MsAs. Editora Clínica Revista 20/20 Definición y Epidemiología El queratocono […]
Por. Patricia E. García A. OD.MsAs. Editora Clínica Revista 20/20 Definición y Epidemiología El queratocono […]
La disminución de la visión puede generar ansiedad en cualquiera que no esté familiarizado con
Por: Michael Dittman , OD Este artículo fue publicado y traducido bajo los términos de la licencia
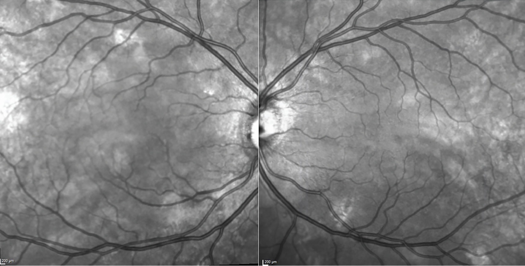
El ojo ha ganado protagonismo como una ventana al interior del funcionamiento del cerebro, debido a su origen embriológico compartido con el sistema nervioso central. Podemos utilizar ciertos biomarcadores para diagnosticar
mejor o prevenir estas condiciones neurodegenerativas.
La IA es la cuarta revolución industrial en la historia de la humanidad, se ha adoptado ampliamente en el análisis de imágenes, el reconocimiento de voz y el procesamiento del lenguaje natural, sin embargo, su impacto en algunas áreas médicas aún es incipiente (1).
Prepárate para vivir tres días intensos de conocimiento, innovación y conexión profesional. Conferencias magistrales, simposios especializados y talleres en áreas clave como optometría pediátrica, superficie ocular, contactología, salud visual integral, inteligencia artificial aplicada, gestión óptica y mucho más.
La pérdida de visión afecta a millones de personas en todo el mundo, limitando a menudo la independencia, la movilidad y la capacidad para realizar las tareas cotidianas.
Brien Holden Vision Institute (BHVI), junto con nuestra revista hermana Review of Myopia Management, anunciaron el lanzamiento de la Semana de Concientización sobre la Miopía 2025, que irá hasta el día 25 de mayo.
La Semana Mundial del Glaucoma es una iniciativa mundial organizada por la Asociación Mundial del Glaucoma. Invitamos a los pacientes, a los profesionales de la salud visual, a los funcionarios de salud y al público en general a unir fuerzas para organizar actividades de concienciación en todo el mundo.
El Instituto Internacional de Miopía ha definido la pre-miopía como “un estado refractivo de un ojo de ≤+0,75 D y >-0,50 D en niños donde una combinación de refracción de base, edad y otros factores de riesgo cuantificables proporcionan una probabilidad suficiente de desarrollo futuro de miopía para ameritar intervenciones preventivas”.